„Hektika” változatai közötti eltérés szó jelentése
(Nincs különbség)
|
A lap jelenlegi, 2017. november 20., 10:02-kori változata
hektika (főnév)
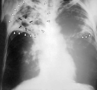
Régies: Tüdőbaj, gümőkór; baktérium okozta fertőző betegség, amely leggyakrabban a tüdőt támadja meg, de megtámadhatja a központi idegrendszert agyhártyagyulladást okozva, illetve a nyirokrendszert és a keringési rendszert is.
A férfi hektikát kapott, ezért a kórházban antibiotikummal kezelik. A tüdőszűrés azért hasznos, mert korán fel lehet ismerni a hektikát, ami így könnyebben kezelhető.
Eredet: A szó eredete elérhető az előfizetéses rendszerben.


